Schienentherapie

Zahnarztpraxis Dr. Isabel Selmair - München, Schwabing / Schienentherapie, Zähneknirschen

Zähneknirschen Oder -Pressen (Bruxismus)

 

Schätzungen zufolge leiden mitunter 30% der Deutschen unter dem Phänomen des Zähneknirschens. Vor allem Frauen knirschen unbewusst während des Schlafs.

 

Die Ursache findet sich in der Regel im Stress, der untertags nicht abgebaut wird – aber auch eine unphysiologische Bisshöhe der Zähne und die damit verbundene mögliche Schieflage der Kauflächen kann zum Zähneknirschen führen.

 

Nachts – oder unbewusst auch tagsüber - verschafft sich der Körper einen Ausgleich des Bisses durch kräftiges Aufeinanderreiben. Dieses ‚Knirschen’ hat eine stark negative Auswirkung sowohl auf die Zahnhartsubstanz als auch auf das Kiefergelenk. In der Folge wird der Zahnschmelz beschädigt, im schlimmsten Fall können gar Teile des Zahns abbrechen oder die Zähne schmerzhafte Sprünge bekommen. Zähneknirschen führt häufig auch zu Kopfschmerzen oder Verspannungen der Hals- und Nackenmuskulatur, die den Patienten tagsüber quälen.

 

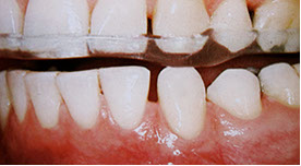
Eine Kunststoffschiene, die abends vor dem Schlafengehen eingesetzt wird, schont sowohl Kiefergelenke, Zahnhartsubstanz sowie die Kaumuskulatur.

 

Da Ober- und Unterkiefer mit Schiene in eine veränderte, ausgeglichene Position gebracht werden, wird das unterbewusste Zwangsverhalten durchbrochen, der Patient knirscht deutlich weniger, sämtliche Strukturen werden entlastet.

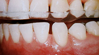
Typischer Befund eines Knirschers: Die Spitzen der Eckzähne sind soweit abradiert, dass bei der Seitwärtsbewegung alle Zähne aufeinanderreiben. Dies stellt bei aktivem Knirschen eine Überlastung der Kiefergelenke, der Halswirbelsäule, der beteiligten Muskulatur sowie natürlich der Zahnhartsubstanzen dar.

KONTAKT

 

Zahnarztpraxis

Dr. med. dent. Isabel Selmair

Clemensstraße 21a

80803 München

 

 

 

 

Mail: info@drselmair.de

 

Die Zahnarztpraxis Dr. Selmair in München Schwabing bietet Ihnen unter anderem folgende Leistungen:

 

Amalgam-Sanierung | Ästhetische Rekonstruktionen | Füllungen | Zahnersatz (Prothetik) | Vorsorge (Prophylaxe) | Wurzelbehandlung (Endodontie) | Behandlung von Parodontitis | Schienentherapie | Minimalinvasive Füllungstechniken | Kinderzahnheilkunde | Alterszahnheilkunde | Recall System | Präventive Zahnheilkunde | amalgamfreie Praxis | hochwertige Kunststofffüllungen | hochwertiger Zahnersatz: Inlays | Kronen | Brücken | Veneers | Teleskop- und Geschiebearbeiten | Implantatprothetik | Totalprothetik | ästhetische und kosmetische Zahnheilkunde: Farb- und Formoptimierung | Bleaching | Internes Bleaching | Individualprophylaxe | Recall-System | moderne Endodontie | Schienentherapie | Sportschutzschiene | Schnarcherschiene | Zahnärztliche Chirurgie | Panorama-Röntgen | Digitales Röntgen | schmerzfreie Anästhesie | schonende Kinderbehandlung | entspannte, angstfreie Behandlung | Geriatrische Zahnheilkunde | hochauflösende intraorale Kamera | professionelle Zahnreinigung | Bißerhöhungsschiene | Kompositfüllungen | Komposite | Maschinelle Endodontie |Composite | Aligner Therapie | ästhetische Kieferorthopädie | Invisalign | Behandlungsmikroskop | Zähnebleichen

 

Zahnarztpraxis Dr. Isabel Selmair - München, Schwabing / Schienentherapie, Zähneknirschen
Zahnarztpraxis Dr. Isabel Selmair - München, Schwabing / Schienentherapie, Zähneknirschen
Zahnarztpraxis Dr. Isabel Selmair - München, Schwabing / Schienentherapie, Zähneknirschen
Zahnarztpraxis Dr. Isabel Selmair München, Schwabing
Zahnarztpraxis Dr. Isabel Selmair - München, Schwabing / Schienentherapie, Zähneknirschen

KONTAKT

 

Zahnarztpraxis

Dr. med. dent. Isabel Selmair

Clemensstraße 21a

80803 München

 

 

 

 

KONTAKT

 

Zahnarztpraxis

Dr. med. dent. Isabel Selmair

Clemensstraße 21a

80803 München

 

 

 

 

Zahnarztpraxis Dr. Isabel Selmair München, Schwabing
Zahnarztpraxis Dr. Isabel Selmair München, Schwabing

Zahnarztpraxis Dr. Isabel Selmair - München, Schwabing / Schienentherapie, Zähneknirschen

Zahnarztpraxis Dr. Isabel Selmair - München, Schwabing / Schienentherapie, Zähneknirschen
Zahnarztpraxis Dr. Isabel Selmair München, Schwabing
Zahnarztpraxis Dr. Isabel Selmair München, Schwabing Zahnarztpraxis Dr. Isabel Selmair München, Schwabing Zahnarztpraxis Dr. Isabel Selmair München, Schwabing Zahnarztpraxis Dr. Isabel Selmair München, Schwabing
Zahnarztpraxis Dr. Isabel Selmair München, Schwabing

Zahnarztpraxis Dr. Isabel Selmair - München, Schwabing / Schienentherapie, Zähneknirschen

Zahnarztpraxis Dr. Isabel Selmair München, Schwabing
Zahnarztpraxis Dr. Isabel Selmair München, Schwabing Zahnarztpraxis Dr. Isabel Selmair München, Schwabing Zahnarztpraxis Dr. Isabel Selmair München, Schwabing Zahnarztpraxis Dr. Isabel Selmair München, Schwabing
Zahnarztpraxis Dr. Isabel Selmair München, Schwabing

Zahnarztpraxis Dr. Isabel Selmair - München, Schwabing / Schienentherapie, Zähneknirschen

Zahnarztpraxis Dr. Isabel Selmair München, Schwabing

Zahnarztpraxis Dr. Isabel Selmair - München, Schwabing / Schienentherapie, Zähneknirschen

Zahnarztpraxis Dr. Isabel Selmair München, Schwabing
Zahnarztpraxis Dr. Isabel Selmair München, Schwabing Zahnarztpraxis Dr. Isabel Selmair München, Schwabing Zahnarztpraxis Dr. Isabel Selmair München, Schwabing Zahnarztpraxis Dr. Isabel Selmair München, Schwabing
Zahnarztpraxis Dr. Isabel Selmair München, Schwabing