Esthetic Orthodontics

Aligner Therapy

 

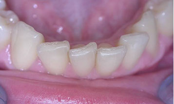
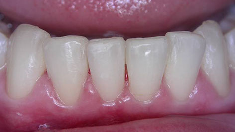
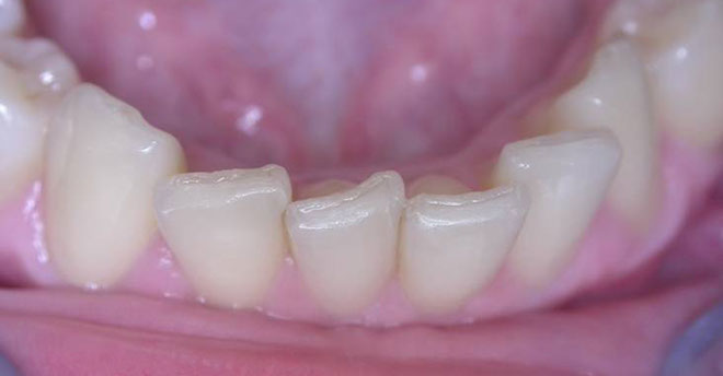
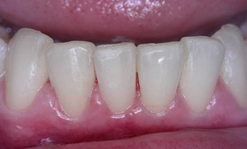
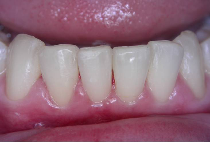
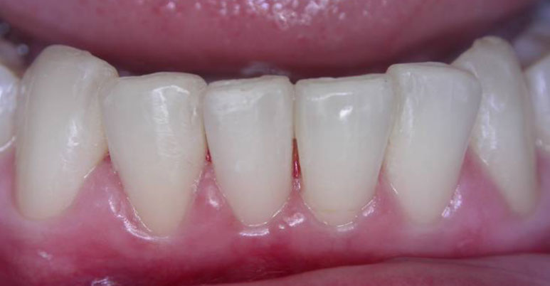
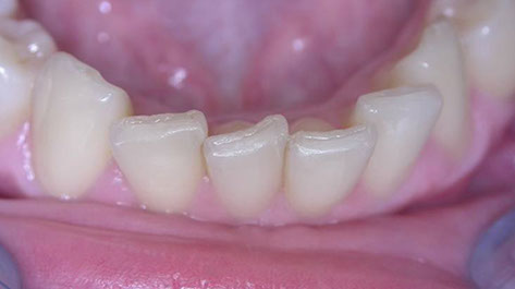
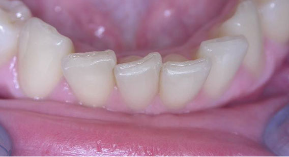
The invisible braces for straight teeth

 

More and more people want beautiful, straight teeth. No wonder, after all, there is hardly anything more attractive than a hearty laugh with flashing, straight teeth. However, many adults are not happy with their aesthetics. If you are not satisfied with your teeth and do not want to accept gaps, crooked or twisted teeth, and a fixed brace is not an option, then Aligner therapy is the right solution for you. Within a few months, crooked or protruding teeth can already be straightened, and unaesthetic tooth gaps can be closed.

 

The transparent, removable splint does not attract attention and does not hinder speech or laughter in everyday life. We not only offer you an effective but also, in comparison to other splint therapies, a more cost-effective alternative for your tooth correction. In contrast to other systems, this Aligner therapy only uses the individually required number of splints.

 

And this is how splint-therapy works:

 

1. we take impressions of your teeth and send them to the specialized laboratory.

2. Working with us, you determine the optimal position of your teeth.

3. the laboratory checks what is possible and prepares an individual, non-binding offer.

4. the laboratory makes the necessary number of splints.

5. you wear the splint all day long (except for meals or dental care).

6. the achieved result is permanently secured by wearing retainer splints!

 

 

Mail: info@drselmair.de

 

CONTACT US

 

Zahnarztpraxis

Dr. med. dent. Isabel Selmair

Clemensstraße 21a

80803 München

 

 

Die Zahnarztpraxis Dr. Selmair in München Schwabing bietet Ihnen unter anderem folgende Leistungen:

 

Amalgam-Sanierung | Ästhetische Rekonstruktionen | Füllungen | Zahnersatz (Prothetik) | Vorsorge (Prophylaxe) | Wurzelbehandlung (Endodontie) | Behandlung von Parodontitis | Schienentherapie | Minimalinvasive Füllungstechniken | Kinderzahnheilkunde | Alterszahnheilkunde | Recall System | Präventive Zahnheilkunde | amalgamfreie Praxis | hochwertige Kunststofffüllungen | hochwertiger Zahnersatz: Inlays | Kronen | Brücken | Veneers | Teleskop- und Geschiebearbeiten | Implantatprothetik | Totalprothetik | ästhetische und kosmetische Zahnheilkunde: Farb- und Formoptimierung | Bleaching | Internes Bleaching | Individualprophylaxe | Recall-System | moderne Endodontie | Schienentherapie | Sportschutzschiene | Schnarcherschiene | Zahnärztliche Chirurgie | Panorama-Röntgen | Digitales Röntgen | schmerzfreie Anästhesie | schonende Kinderbehandlung | entspannte, angstfreie Behandlung | Geriatrische Zahnheilkunde | hochauflösende intraorale Kamera | professionelle Zahnreinigung | Bißerhöhungsschiene | Kompositfüllungen | Komposite | Maschinelle Endodontie |Composite | Aligner Therapie | ästhetische Kieferorthopädie | Invisalign | Behandlungsmikroskop | Zähnebleichen

 

Zahnarztpraxis Dr. Isabel Selmair München, Schwabing
Zahnarztpraxis Dr. Isabel Selmair München, Schwabing
Zahnarztpraxis Dr. Isabel Selmair München, Schwabing
Zahnarztpraxis Dr. Isabel Selmair München, Schwabing
Zahnarztpraxis Dr. Isabel Selmair München, Schwabing

KONTAKT

 

Zahnarztpraxis

Dr. med. dent. Isabel Selmair

Clemensstraße 21a

80803 München

 

 

 

 

KONTAKT

 

Zahnarztpraxis

Dr. med. dent. Isabel Selmair

Clemensstraße 21a

80803 München

 

 

 

 

CONTACT US

 

Zahnarztpraxis

Dr. med. dent. Isabel Selmair

Clemensstraße 21a

80803 München

 

 

 

 

CONTACT US

 

Zahnarztpraxis

Dr. med. dent. Isabel Selmair

Clemensstraße 21a

80803 München

 

 

 

 

Zahnarztpraxis Dr. Isabel Selmair München, Schwabing
Zahnarztpraxis Dr. Isabel Selmair München, Schwabing

Zahnarztpraxis Dr. Isabel Selmair München, Schwabing Zahnarztpraxis Dr. Isabel Selmair München, Schwabing Zahnarztpraxis Dr. Isabel Selmair München, Schwabing Zahnarztpraxis Dr. Isabel Selmair München, Schwabing
Zahnarztpraxis Dr. Isabel Selmair München, Schwabing