Dental Splints

TEETH GRINDING OR PRESSING (BRUXISM)

 

It is estimated that 30% of Germans suffer from bruxism. Women, in particular, have an increased risk of grinding their teeth unconsciously while sleeping.

 

The cause can usually be found in stress not relieved during the day. However, an atypical bite height of the teeth and the related misalignment of the occlusal surfaces can also lead to an unconscious habit.

 

At night - or even unconsciously during the day - the body balances the jaw by rubbing the teeth together vigorously. This 'crunching' harms both the tooth structure and the jaw's joints. As a result, the enamel is damaged. In the worst cases, parts of the tooth can break off, or teeth can get painful cracks. Teeth grinding typically leads to headaches or tension in the neck muscles, which torment the patient during the day.

 

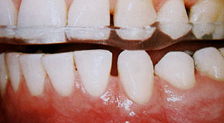
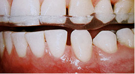
A plastic splint, which is inserted in the evening before going to bed, protects the jaw joints, tooth structure and masticatory muscles.

 

As the upper and lower jaw are brought into a changed, balanced position with the splint, the subconscious forced behaviour is disrupted, the patient crunches considerably less, and all connected structures are relieved.

Zahnarztpraxis Dr. Isabel Selmair - München, Schwabing / Schienentherapie, Zähneknirschen

Typical findings associated with a grinder: The tips of the canines are erased to such an extent that all teeth rub against each other during any lateral movement. By comparison, active grinding causes the temporomandibular joints, the cervical spine, the muscles involved and, of course, the hard tooth substances to overload.

 

 

Mail: info@drselmair.de

 

CONTACT US

 

Zahnarztpraxis

Dr. med. dent. Isabel Selmair

Clemensstraße 21a

80803 München

 

 

Die Zahnarztpraxis Dr. Selmair in München Schwabing bietet Ihnen unter anderem folgende Leistungen:

 

Amalgam-Sanierung | Ästhetische Rekonstruktionen | Füllungen | Zahnersatz (Prothetik) | Vorsorge (Prophylaxe) | Wurzelbehandlung (Endodontie) | Behandlung von Parodontitis | Schienentherapie | Minimalinvasive Füllungstechniken | Kinderzahnheilkunde | Alterszahnheilkunde | Recall System | Präventive Zahnheilkunde | amalgamfreie Praxis | hochwertige Kunststofffüllungen | hochwertiger Zahnersatz: Inlays | Kronen | Brücken | Veneers | Teleskop- und Geschiebearbeiten | Implantatprothetik | Totalprothetik | ästhetische und kosmetische Zahnheilkunde: Farb- und Formoptimierung | Bleaching | Internes Bleaching | Individualprophylaxe | Recall-System | moderne Endodontie | Schienentherapie | Sportschutzschiene | Schnarcherschiene | Zahnärztliche Chirurgie | Panorama-Röntgen | Digitales Röntgen | schmerzfreie Anästhesie | schonende Kinderbehandlung | entspannte, angstfreie Behandlung | Geriatrische Zahnheilkunde | hochauflösende intraorale Kamera | professionelle Zahnreinigung | Bißerhöhungsschiene | Kompositfüllungen | Komposite | Maschinelle Endodontie |Composite | Aligner Therapie | ästhetische Kieferorthopädie | Invisalign | Behandlungsmikroskop | Zähnebleichen

 

Zahnarztpraxis Dr. Isabel Selmair München, Schwabing
Zahnarztpraxis Dr. Isabel Selmair - München, Schwabing / Schienentherapie, Zähneknirschen
Zahnarztpraxis Dr. Isabel Selmair München, Schwabing
Zahnarztpraxis Dr. Isabel Selmair - München, Schwabing / Schienentherapie, Zähneknirschen
Zahnarztpraxis Dr. Isabel Selmair - München, Schwabing / Schienentherapie, Zähneknirschen
Zahnarztpraxis Dr. Isabel Selmair - München, Schwabing / Schienentherapie, Zähneknirschen
Zahnarztpraxis Dr. Isabel Selmair München, Schwabing
Zahnarztpraxis Dr. Isabel Selmair - München, Schwabing / Schienentherapie, Zähneknirschen
Zahnarztpraxis Dr. Isabel Selmair München, Schwabing
Zahnarztpraxis Dr. Isabel Selmair - München, Schwabing / Schienentherapie, Zähneknirschen
Zahnarztpraxis Dr. Isabel Selmair München, Schwabing

KONTAKT

 

Zahnarztpraxis

Dr. med. dent. Isabel Selmair

Clemensstraße 21a

80803 München

 

 

 

 

KONTAKT

 

Zahnarztpraxis

Dr. med. dent. Isabel Selmair

Clemensstraße 21a

80803 München

 

 

 

 

CONTACT US

 

Zahnarztpraxis

Dr. med. dent. Isabel Selmair

Clemensstraße 21a

80803 München

 

 

 

 

CONTACT US

 

Zahnarztpraxis

Dr. med. dent. Isabel Selmair

Clemensstraße 21a

80803 München

 

 

 

 

Zahnarztpraxis Dr. Isabel Selmair München, Schwabing
Zahnarztpraxis Dr. Isabel Selmair München, Schwabing

Zahnarztpraxis Dr. Isabel Selmair - München, Schwabing / Schienentherapie, Zähneknirschen

Zahnarztpraxis Dr. Isabel Selmair - München, Schwabing / Schienentherapie, Zähneknirschen
Zahnarztpraxis Dr. Isabel Selmair München, Schwabing Zahnarztpraxis Dr. Isabel Selmair München, Schwabing Zahnarztpraxis Dr. Isabel Selmair München, Schwabing Zahnarztpraxis Dr. Isabel Selmair München, Schwabing
Zahnarztpraxis Dr. Isabel Selmair München, Schwabing

Zahnarztpraxis Dr. Isabel Selmair - München, Schwabing / Schienentherapie, Zähneknirschen

Zahnarztpraxis Dr. Isabel Selmair - München, Schwabing / Schienentherapie, Zähneknirschen

Zahnarztpraxis Dr. Isabel Selmair - München, Schwabing / Schienentherapie, Zähneknirschen