Parodontitisbehandlung

Parodontitis –

Risiko für Infektionskrankheiten

 

Eine Parodontitiserkrankung erhöht ganz offensichtlich das Risiko für weitere Infektionskrankheiten. So folgert eine spanische Studie, dass Patienten, die eine parodontale Erkrankung aufweisen, ein 10-fach erhöhtes Risiko tragen, an einer Lungenentzündung zu erkranken. Analog ist ein 5-fach erhöhtes Herzinfarkt-Risiko statistisch belegt worden.

Ohne die Hilfe des Zahnarztes kann die Infektionskrankheit Parodontitis nicht überwunden werden. Aus diesem Grund sollten Sie den Zahnarzt bereits bei ersten Anzeichen einer parodontalen Erkrankung (z.B. wiederholtes Zahnfleischbluten) um Rat fragen. Dr. Selmair nimmt sich dabei ausführlich Zeit, um den Grad der Krankheit zu analysieren und mit Ihnen gemeinsam die möglichen Schritte zu Therapie und Behandlung einzuleiten.

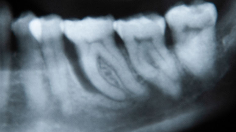
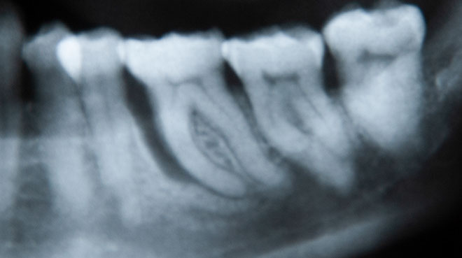
Bei der Untersuchung zur Diagnose einer parodontalen Erkrankung werden unterschiedliche Parameter festgehalten:

 

  • Plaque-Index (API)
  • Blutungs-Index (PBI)
  • Parodontaler Screening Index (PSI)
  • Sondierungstiefen (ab 4 mm definiert als „Tasche“)
  • Pflegestatus (Plaque-Darstellung mit der intraoralen Kamera)
  • OPG (Orthopantomogramm – Röntgen-Übersichtsaufnahme)

 

Um eine Parodontitis erfolgreich einzudämmen, ist der Zahnarzt hundertprozentig auf die Mitarbeit des Patienten angewiesen. Eine gute häusliche Mundhygiene ist zwingende Vorraussetzung für den Erfolg einer Taschenbehandlung.

 

Das maßgeschneiderte Recallsystem der Praxis Dr. Selmair trägt entscheidend zum Gelingen der Behandlung bei und hilft, einer Re-Infektion vorzubeugen. Es liegt am Patienten, diese Hilfe entsprechend an- und wahrzunehmen.

 

 

Rauchen und Parodontitis

 

Das Risiko für einen Raucher, an Parodontitis zu erkranken, ist bis zu 6-mal so hoch wie  für einen Nichtraucher. Durch den Nikotingenuss sind die Durchblutung des Zahnfleischs, ebenso die lokale Immunabwehr stark reduziert – dies kann in der Folge rasch zu tiefen Zahnfleischtaschen führen.

 

Auch das Risiko, in der Nachsorgetherapie Zähne zu verlieren, liegt bei Rauchern deutlich höher als bei Nichtrauchern.

 

 

Tipp

 

Parodontitis ist eine ansteckende Infektionskrankheit, verursacht durch diverse anaerobe Bakterienspezies. Sollten Sie oder Ihr Partner an einer parodontalen Erkrankung leiden, so ist es ratsam, dass beide Partner den Zahnarzt diesbezüglich aufsuchen.

KONTAKT

 

Zahnarztpraxis

Dr. med. dent. Isabel Selmair

Clemensstraße 21a

80803 München

 

 

 

 

Mail: info@drselmair.de

 

Die Zahnarztpraxis Dr. Selmair in München Schwabing bietet Ihnen unter anderem folgende Leistungen:

 

Amalgam-Sanierung | Ästhetische Rekonstruktionen | Füllungen | Zahnersatz (Prothetik) | Vorsorge (Prophylaxe) | Wurzelbehandlung (Endodontie) | Behandlung von Parodontitis | Schienentherapie | Minimalinvasive Füllungstechniken | Kinderzahnheilkunde | Alterszahnheilkunde | Recall System | Präventive Zahnheilkunde | amalgamfreie Praxis | hochwertige Kunststofffüllungen | hochwertiger Zahnersatz: Inlays | Kronen | Brücken | Veneers | Teleskop- und Geschiebearbeiten | Implantatprothetik | Totalprothetik | ästhetische und kosmetische Zahnheilkunde: Farb- und Formoptimierung | Bleaching | Internes Bleaching | Individualprophylaxe | Recall-System | moderne Endodontie | Schienentherapie | Sportschutzschiene | Schnarcherschiene | Zahnärztliche Chirurgie | Panorama-Röntgen | Digitales Röntgen | schmerzfreie Anästhesie | schonende Kinderbehandlung | entspannte, angstfreie Behandlung | Geriatrische Zahnheilkunde | hochauflösende intraorale Kamera | professionelle Zahnreinigung | Bißerhöhungsschiene | Kompositfüllungen | Komposite | Maschinelle Endodontie |Composite | Aligner Therapie | ästhetische Kieferorthopädie | Invisalign | Behandlungsmikroskop | Zähnebleichen

 

Zahnarztpraxis Dr. Isabel Selmair München, Schwabing

KONTAKT

 

Zahnarztpraxis

Dr. med. dent. Isabel Selmair

Clemensstraße 21a

80803 München

 

 

 

 

KONTAKT

 

Zahnarztpraxis

Dr. med. dent. Isabel Selmair

Clemensstraße 21a

80803 München

 

 

 

 

Zahnarztpraxis Dr. Isabel Selmair München, Schwabing
Zahnarztpraxis Dr. Isabel Selmair München, Schwabing

Zahnarztpraxis Dr. Isabel Selmair München, Schwabing
Zahnarztpraxis Dr. Isabel Selmair München, Schwabing Zahnarztpraxis Dr. Isabel Selmair München, Schwabing Zahnarztpraxis Dr. Isabel Selmair München, Schwabing Zahnarztpraxis Dr. Isabel Selmair München, Schwabing
Zahnarztpraxis Dr. Isabel Selmair München, Schwabing

Zahnarztpraxis Dr. Isabel Selmair München, Schwabing
Zahnarztpraxis Dr. Isabel Selmair München, Schwabing Zahnarztpraxis Dr. Isabel Selmair München, Schwabing Zahnarztpraxis Dr. Isabel Selmair München, Schwabing Zahnarztpraxis Dr. Isabel Selmair München, Schwabing
Zahnarztpraxis Dr. Isabel Selmair München, Schwabing

Zahnarztpraxis Dr. Isabel Selmair München, Schwabing

Zahnarztpraxis Dr. Isabel Selmair München, Schwabing
Zahnarztpraxis Dr. Isabel Selmair München, Schwabing Zahnarztpraxis Dr. Isabel Selmair München, Schwabing Zahnarztpraxis Dr. Isabel Selmair München, Schwabing Zahnarztpraxis Dr. Isabel Selmair München, Schwabing
Zahnarztpraxis Dr. Isabel Selmair München, Schwabing