Minimally Invasive Tooth Fillings
Before treatment
Small caries in the middle of a sharp 'occlusal surface relief' which is challenging to maintain
After treatment
The affected area is minimally drawn up and filled with composite resin, while the deeper parts of the fissures are sealed with a viscous acrylic
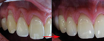
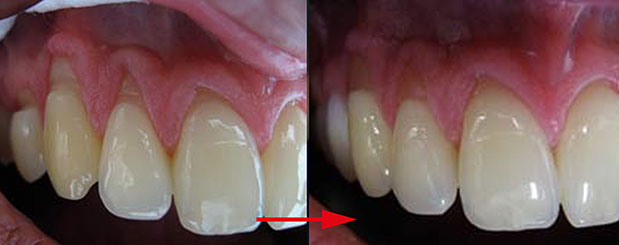
Before treatment
Disturbing anterior aesthetics: gap (diastema) and uneven cutting edges of the anterior teeth
After treatment
Non-invasive closing of the gap with colour-adapted resin and straightening of the cutting edges at the top and bottom for a more even appearance
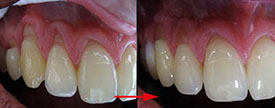
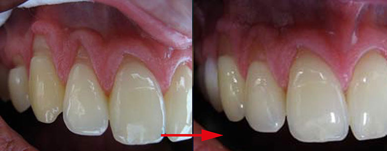
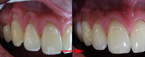
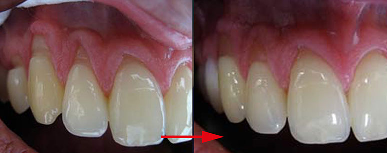
Before treatment
Unpleasant and phonetically awkward "black triangle" (= periodontal defect) in the visible anterior region of the tooth
After treatment
Completely non-invasive, stably bonded, inconspicuous defect coverage with colour- and shape-adapted composite
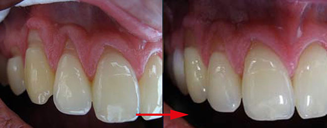
Before treatment
Aesthetically disturbing and usually hypersensitive: the tooth substance has been chafed away by the toothbrush, as well as a pressure-related bone loss on the outer sides of the dental arch
After treatment
Coating the defects mentioned above by applying and modelling a special gum-coloured filling material
Öffnungzeiten
Notdienst
Sollten Sie außerhalb unserer Praxiszeiten dringend eine zahnärztliche Behandlung benötigen, wenden Sie sich bitte an den Zahnärztlichen Notdienst Bayerns:
www.notdienst-zahn.de
Hier bekommen Sie eine Auflistung der in Ihrer Nähe für den Notdienst eingeteilten Praxen.
Diese stehen an Samstagen, Sonntagen sowie Feiertagen von 10-12, sowie von 17-19 Uhr zur Verfügung.
KONTAKT
Zahnarztpraxis
Dr. med. dent. Isabel Selmair
Clemensstraße 21a
80803 München
Telefon: +49 (0) 89 300 62 83
Telefax: +49 (0) 89 3000 20 56
Mail: info@drselmair.de
Öffnungzeiten
Notdienst
Sollten Sie außerhalb unserer Praxiszeiten dringend eine zahnärztliche Behandlung benötigen, wenden Sie sich bitte an den Zahnärztlichen Notdienst Bayerns:
Hier bekommen Sie eine Auflistung der in Ihrer Nähe für den Notdienst eingeteilten Praxen.
Diese stehen an Samstagen, Sonntagen sowie Feiertagen von 10-12, sowie von 17-19 Uhr zur Verfügung.
KONTAKT
Zahnarztpraxis
Dr. med. dent. Isabel Selmair
Clemensstraße 21a
80803 München
Telefon: +49 (0) 89 300 62 83
Telefax: +49 (0) 89 3000 20 56
Mail: info@drselmair.de
CONTACT US
Zahnarztpraxis
Dr. med. dent. Isabel Selmair
Clemensstraße 21a
80803 München
Telephone: +49 (0) 89 300 62 83
Telefax: +49 (0) 89 3000 20 56
Mail: info@drselmair.de
CONTACT US
Zahnarztpraxis
Dr. med. dent. Isabel Selmair
Clemensstraße 21a
80803 München
Telephone: +49 (0) 89 300 62 83
Telefax: +49 (0) 89 3000 20 56
Mail: info@drselmair.de
Opening Times
Emergency Services
Should you require immediate medical assistance outside of our opening hours, please contact the “Bavarian dental emergency service”:
There you will find a list of dental surgeries that are currently responsible for emergency services. These are available on Saturdays, Sundays and bank holidays from 10-12am and 5-7pm.