Dentures (Prosthetics)

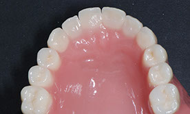
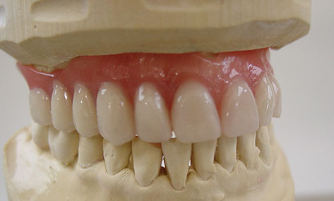
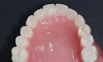
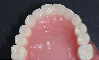
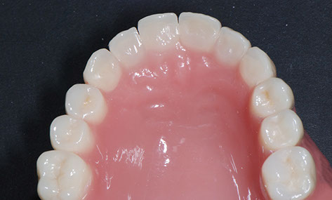
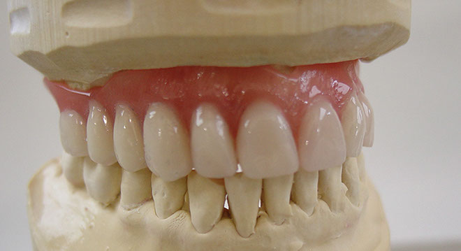
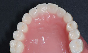
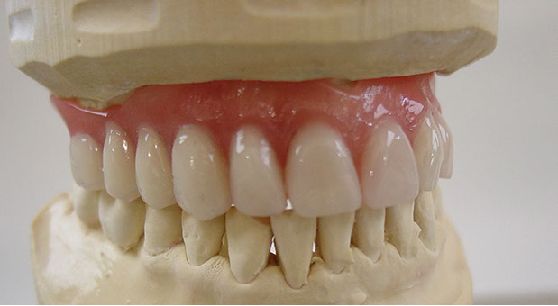
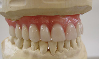
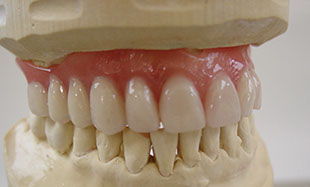
FuLL DENTURE

 

The fabrication of a full denture requires exceptional finesse: The shape of the tooth, bite height, ratio of upper to lower jaw, soft tissue and the skeletal situation must all be taken into account as well as functionality, phonetics and aesthetics.

 

 

Mail: info@drselmair.de

 

CONTACT US

 

Zahnarztpraxis

Dr. med. dent. Isabel Selmair

Clemensstraße 21a

80803 München

 

 

Die Zahnarztpraxis Dr. Selmair in München Schwabing bietet Ihnen unter anderem folgende Leistungen:

 

Amalgam-Sanierung | Ästhetische Rekonstruktionen | Füllungen | Zahnersatz (Prothetik) | Vorsorge (Prophylaxe) | Wurzelbehandlung (Endodontie) | Behandlung von Parodontitis | Schienentherapie | Minimalinvasive Füllungstechniken | Kinderzahnheilkunde | Alterszahnheilkunde | Recall System | Präventive Zahnheilkunde | amalgamfreie Praxis | hochwertige Kunststofffüllungen | hochwertiger Zahnersatz: Inlays | Kronen | Brücken | Veneers | Teleskop- und Geschiebearbeiten | Implantatprothetik | Totalprothetik | ästhetische und kosmetische Zahnheilkunde: Farb- und Formoptimierung | Bleaching | Internes Bleaching | Individualprophylaxe | Recall-System | moderne Endodontie | Schienentherapie | Sportschutzschiene | Schnarcherschiene | Zahnärztliche Chirurgie | Panorama-Röntgen | Digitales Röntgen | schmerzfreie Anästhesie | schonende Kinderbehandlung | entspannte, angstfreie Behandlung | Geriatrische Zahnheilkunde | hochauflösende intraorale Kamera | professionelle Zahnreinigung | Bißerhöhungsschiene | Kompositfüllungen | Komposite | Maschinelle Endodontie |Composite | Aligner Therapie | ästhetische Kieferorthopädie | Invisalign | Behandlungsmikroskop | Zähnebleichen

 

Zahnarztpraxis Dr. Isabel Selmair München, Schwabing
Zahnarztpraxis Dr. Isabel Selmair München, Schwabing
Zahnarztpraxis Dr. Isabel Selmair München, Schwabing
Zahnarztpraxis Dr. Isabel Selmair München, Schwabing
Zahnarztpraxis Dr. Isabel Selmair München, Schwabing

KONTAKT

 

Zahnarztpraxis

Dr. med. dent. Isabel Selmair

Clemensstraße 21a

80803 München

 

 

 

 

KONTAKT

 

Zahnarztpraxis

Dr. med. dent. Isabel Selmair

Clemensstraße 21a

80803 München

 

 

 

 

CONTACT US

 

Zahnarztpraxis

Dr. med. dent. Isabel Selmair

Clemensstraße 21a

80803 München

 

 

 

 

CONTACT US

 

Zahnarztpraxis

Dr. med. dent. Isabel Selmair

Clemensstraße 21a

80803 München

 

 

 

 

Zahnarztpraxis Dr. Isabel Selmair München, Schwabing
Zahnarztpraxis Dr. Isabel Selmair München, Schwabing

Zahnarztpraxis Dr. Isabel Selmair München, Schwabing Zahnarztpraxis Dr. Isabel Selmair München, Schwabing Zahnarztpraxis Dr. Isabel Selmair München, Schwabing Zahnarztpraxis Dr. Isabel Selmair München, Schwabing
Zahnarztpraxis Dr. Isabel Selmair München, Schwabing